PDF version of this entire document

Image distance measures

The definitions provided for Specificity and Generalisation (equations 6.2 and 6.4) require a measure, $\vert\cdot\vert$, of separation in image space. The most straightforward way to measure the distance between images is to treat each image as a vector formed by concatenating the pixel/voxel intensity values, then take the Euclidean distance. This means that each pixel/voxel in one image is compared against its spatially corresponding pixel/voxel in another image. Although this has the merit of simplicity, it does not provide a very well-behaved distance measure since it increases rapidly for quite small image misalignments. Another possibility is to use Image Euclidean Distance (IMED), as proposed in a recent paper [], by considering the two images as surfaces $(\mathbf{x},\mathbf{I}(\mathbf{x}))$ and searching from each position $\mathbf{x}$ in one image along the tangent to the surface at point $\mathbf{x}$ for the nearest point on the surface covered by the other image. While this approach was implemented and tested by me, it was not considered further due to efficiency and time constraints.

This observation led to consideration of an alternative distance measure, based on the `shuffle difference', inspired by the `shuffle transform' []. Given two images $\mathbf{I}_1(\mathbf{x})$ and $\mathbf{I}_2(\mathbf{\mathbf{x}})$, the shuffle distance between them is defined as

\begin{displaymath}D_s(\mathbf{I}_1,\mathbf{I}_2)=\frac{1}{n} \sum_{\mathbf{x}} ...
...f{I}_1(\mathbf{x})-\mathbf{I}_2(\mathbf{N}_i(\mathbf{x}))\Vert \end{displaymath} (6.6)

where $\vert\cdot\vert$ is the absolute difference, there are $n$ pixels (or voxels) indexed by $\mathbf{x}$, and $\{\mathbf{N}_i(\mathbf{x})\}$ is the set of pixels in a neighbourhood of radius $r$ around $\mathbf{x}$.

The idea is illustrated in Figure [*]. Instead of taking the sum-of-squared-differences between corresponding pixels, the minimum absolute difference between each pixel in one image and the values in a neighbourhood around the corresponding pixel is used. This is less sensitive to small misalignments, and provides a better-behaved distance measure. The tolerance for misalignment is dependent on the size of the neighbourhood ($r$), as is illustrated in Figure [*].

Figure: calculation of a shuffle difference image. Note that this diagram shows the symmetric calculation, whereas in experiments we use an asymmetric (one-way) calculation.
Image brains_shuffle_symmetric-revised

Figure: comparison between shuffle difference images evaluated using various size neighbourhoods (radius $r$). Left: original image, right: warped image, centre, from the left: shuffle difference images with $r=1$(Euclidean), $1.5,\,2.9$ and $3.7$ pixels.
Image shuffle_comparison-revised

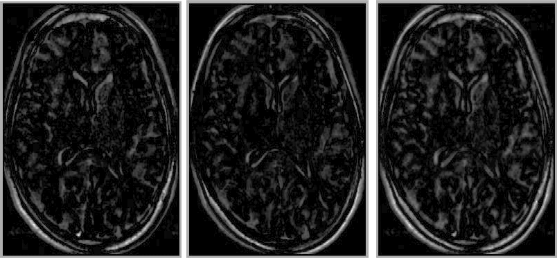
It should be noted that the shuffle distance, as defined above, depends on the direction in which it is measured (see Figure [*]), hence is not a true distance. It is trivial to construct a symmetric shuffle distance, by averaging the distance calculated in both directions between a pair of images. I found empirically, however, that the improvement obtained in this way was not significant, and did not justify the increased computation time. In what follows, the asymmetric shuffle distance is used exclusively.

Figure: Examples of the shuffle difference image: from first to second (left), from second to first (centre), and the symmetrical shuffle difference image (right)
Image shuffle_images-revised

Roy Schestowitz 2010-04-05