PDF version of this entire document

Groupwise Non-Rigid Registration

I performed groupwise NRR after pairwise NRR where sets of images were considered. This was done using the same parameters for pairwise NRR as before. The main conclusion reached was that, based on some encouraging results, it should be reasonable to say groupwise stages after pairwise stages make a significant and positive difference. The remainder of the experiments, however, will be just pairwise for simplicity.

Multi-Scale NRR

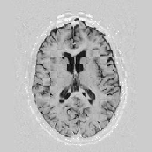
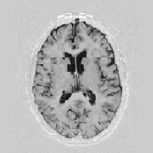
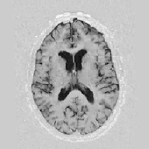
Another larger group of experiments enabled me to study the effects of multi-scale NRR. The results are shown in the form of chequerboard images in Figure [*]. In terms of resolution levels, higher numbers mean that the images are coarser.

Judging by some later stages when resolution is increased, the conclusion reached is that the added computational effort, which is enormous, makes this increase unneeded. The increase in resolution does not reveal much new information about the image structure, at least not at the stage when registration is still far from being entirely approached.

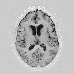
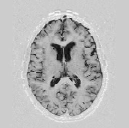
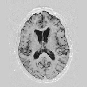
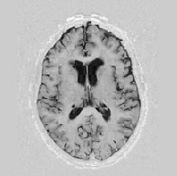
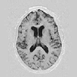
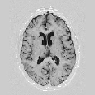
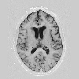
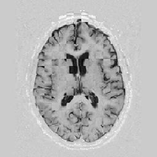
Figure: Multi-scale NRR (increasing resolution). From left to right, top then bottom:before NRR; after 5 iterations of NRR at level 2 (higher is coarser); after another 5 iterations of NRR at level 1.
\includegraphics[scale=0.75]{/home/roy/Thesis/Graphics/1-1}\includegraphics[scale=0.75]{/home/roy/Thesis/Graphics/1-2}
\includegraphics[scale=0.75]{/home/roy/Thesis/Graphics/1-3}

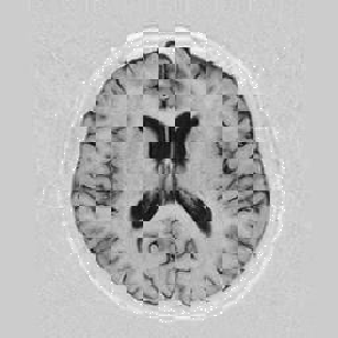
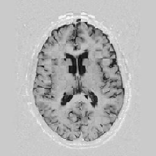
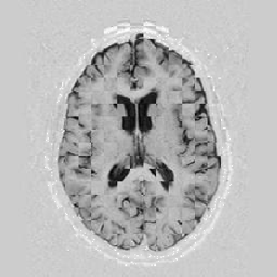
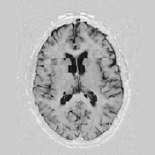
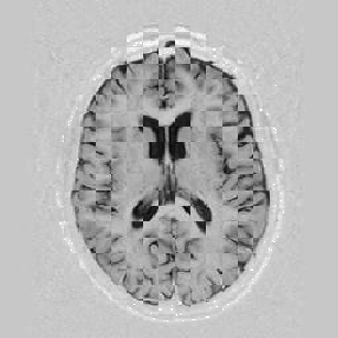
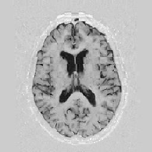
The results are shown for another pair of images in Figure [*].

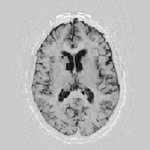
Figure: Multi-scale NRR. From left to right, top then bottom: before NRR; after 5 iterations of NRR at level 2; after another 5 iterations of NRR at level 1.
\includegraphics[scale=0.75]{/home/roy/Thesis/Graphics/2-1}\includegraphics[scale=0.75]{/home/roy/Thesis/Graphics/2-2}
\includegraphics[scale=0.75]{/home/roy/Thesis/Graphics/2-3}

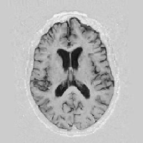
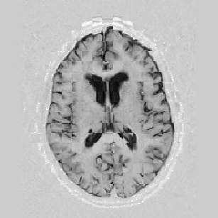
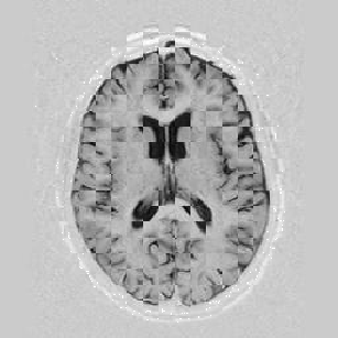
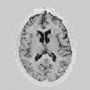
I later attempted 10 iterations at level 2, then 2 iterations at level 1, and 1 iteration at the finest level. Visual results can be seen in Figure [*].

Figure: Multi-scale NRR. From left to right, top then bottom: before NRR; after 10 iterations of NRR at level 2; after another 2 iterations of NRR at level 1; after 1 iteration at level 0.
\includegraphics[scale=0.75]{/home/roy/Thesis/Graphics/3-1}\includegraphics[scale=0.75]{/home/roy/Thesis/Graphics/3-2}
\includegraphics[scale=0.75]{/home/roy/Thesis/Graphics/3-3}\includegraphics[scale=0.75]{/home/roy/Thesis/Graphics/3-4}

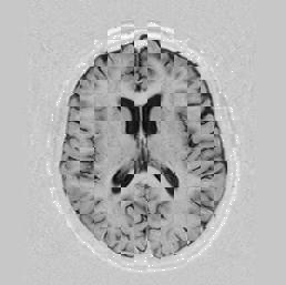
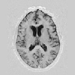
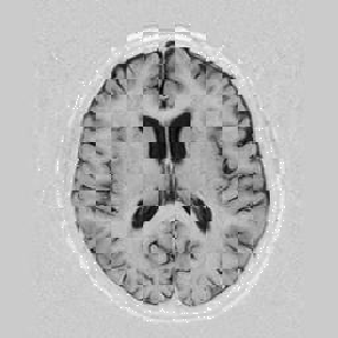
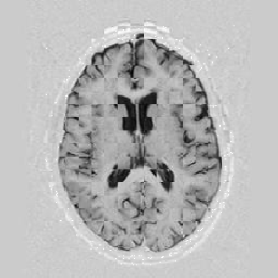
Lastly, Figure [*] shows 10 iterations at level 2, 6 iterations at level 1, and 6 at level 0.

Figure: Multi-scale NRR. From left to right, top then bottom: before NRR; after 10 iterations of NRR at level 2; after another 6 iterations of NRR at level 1; after 6 more iterations at level 0.
\includegraphics[scale=0.75]{/home/roy/Thesis/Graphics/4-1}\includegraphics[scale=0.75]{/home/roy/Thesis/Graphics/4-2}
\includegraphics[scale=0.75]{/home/roy/Thesis/Graphics/4-3}\includegraphics[scale=0.75]{/home/roy/Thesis/Graphics/4-4}

Figure: Multi-scale NRR with knot-points increase. The results from a longer optimisation which shows the outcome of changing both resolution and number of knot-points. There is a gradual increase in the number of knot-points (+1 at each stage) and a change from level 2 to level 1 between the second and third images (going left to right, top to bottom). The image at the bottom right is the final outcome.
\includegraphics[scale=0.63]{/home/roy/Thesis/Graphics/5-1}\includegraphics[scale=0.63]{/home/roy/Thesis/Graphics/5-2}
\includegraphics[scale=0.63]{/home/roy/Thesis/Graphics/5-3}\includegraphics[scale=0.63]{/home/roy/Thesis/Graphics/5-4}
\includegraphics[scale=0.63]{/home/roy/Thesis/Graphics/5-5}\includegraphics[scale=0.63]{/home/roy/Thesis/Graphics/5-6}

A long optimisation where I changed both the number of knot-points and the resolution is shown in Figures [*] and [*].

Figure: Multi-scale NRR withknot-points increase. From left to right, top then bottom: before NRR; after NRR, level 2, 4 knot-points; after NRR, level 1, 5 knot-points; after NRR, level 0, 10 knot-points. All stages comprised 10 iterations each.
\includegraphics[scale=0.75]{/home/roy/Thesis/Graphics/6-1}\includegraphics[scale=0.75]{/home/roy/Thesis/Graphics/6-2}
\includegraphics[scale=0.75]{/home/roy/Thesis/Graphics/6-3}\includegraphics[scale=0.75]{/home/roy/Thesis/Graphics/6-4}

Figure: Multi-scale NRR with knot-points increase. From left to right, top then bottom:before NRR; after NRR, level 2, 4 knot-points; after NRR, level 1, 5 knot-points; after NRR, level 0, 10 knot-points. All stages comprised 10 iterations each. The images above apply to the same experiment as in Figure [*], but shown here is a different pair of images.
\includegraphics[scale=0.75]{/home/roy/Thesis/Graphics/7-1}\includegraphics[scale=0.75]{/home/roy/Thesis/Graphics/7-2}
\includegraphics[scale=0.75]{/home/roy/Thesis/Graphics/7-3}\includegraphics[scale=0.75]{/home/roy/Thesis/Graphics/7-4}

The last figure, Figure [*], shows an important comparison between two large registrations. Up to 20 knot-points were used.

Figure: Multi-scale NRR withsignificant knot-points increase. On the left, top then bottom: comprehensive NRR where everything is done at level 1; On the right:all at level 2.
\includegraphics[scale=0.7]{/home/roy/Thesis/Graphics/8-1}\includegraphics[scale=0.7]{/home/roy/Thesis/Graphics/8-2}

In that last figure, there is a clear difference to be seen in terms of quality, notably in favour of the image on the left. It is a chequerboard image, but it may be hard to see it because the level of overlap is high. Consequently, this registration worked a lot better and my colleagues demonstrated that the overall framework worked fully, as the remainder of this section will describe.

Roy Schestowitz 2010-04-05