PDF version of this entire document

Registration Algorithm

In order to obtain a set of corresponding points, transformation of data is needed. I repeatedly used two separate `families' of registration algorithms. The first method used sum-of-squared-differences to measure similarity, whereas the second used mutual information. In both cases, transformation was handled solely using bi-harmonic   clamped-plate splines.

Although mutual information is a commonly-used similarity measure, it was not used extensively during the experiments that I conducted and shall describe in the remainder of this thesis. My personal work, which is described in this section, contributed to the establishment of a framework for building models from 2-D NRR. This becomes essential later on.

Figure: image showing the difference between two registered images. The objective function used was sum-of-squared differences.
Image ssd_vxl

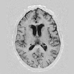
Figure: image showing the difference between two registered images (different from the image set shown in the previous figure). The objective function used here was mutual information.
Image info_vxl

Figures [*] and [*] demonstrate the results of a registration process, by overlaying images to get a mixture that is a chequerboard. What I show here is the composition of two images, where each chequerboard position is placed adjacent to neighboring positions (top, bottom, left and right) from another image. If boundaries of these rectangular positions are difficult to spot, then it is a positive sign indicating that the similarity is high and both images are in a state of good alignment. This is a simple way of visually examining the differences between two images with extra attention paid to particular image regions.

Roy Schestowitz 2010-04-05